胃カメラ検査とバリウム検査について
スキルス胃がんの新しい治療 東京大学医学部附属病院
スキルス胃がんとは 北青山dクリニック
スキルス型の胃癌
かりに スキルス性胃がんが 自覚症状を訴える段階まで進行している Yahoo 知恵袋
胃がんの99 はピロリ菌原因 バリウム検査での発見率は低い Newsポストセブン
スキルス胃がんとは 胃内視鏡 胃カメラ
告知の1ヶ月前 スキルス性胃ガンに勝つ
胃内視鏡vs 胃バリウムvs 胃abc検診 そねクリニック丸の内
バリウム検査について 新 胃x線撮影法といわれます バリウム日記 がんの早期発見をめざして
スキルス胃ガンを考える オトナ世代の雑記帳
スキルス 胃がん バリウム検査
バリウムを台の上へあがってから飲む理由 バリウム日記 がんの早期発見をめざして
医師や看護師がバリウム検査を受けない理由 放射線の被曝量と発がん性 内視鏡検査との違いとは 美腸ブログ ナースキュア
人間ドックや会社の健康診断での胃バリウム検査だけで済ませていませんか 内視鏡医師のなんでも相談室 福岡天神内視鏡クリニック
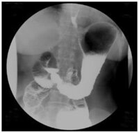
症例 1 スキルス胃がん